Pulmonalstenose beim Hund: was Sie wissen sollten
Bei einer verengter Pulmonalklappe hilft die Valvuloplastie (oder Klappenballonierung), den Blutfluss in die Lunge zu verbessern. Dabei wird ein Ballonkatheter verwendet, um das Gefäß/Klappe zu erweitern.
Was ist eine Pulmonalklappenstenose?
Die Pulmonalstenose ist eine angeborene Herzkrankheit, die durch eine Verengung der Pulmonalklappe oder des Pulmonalarterienausgangs gekennzeichnet ist. Diese Erkrankung kann zu einer Reihe von gesundheitlichen Problemen führen, wenn sie nicht rechtzeitig erkannt und behandelt wird.
Bei der Pulmonalstenose ist der Blutfluss von der rechten Hauptkammer zur Lunge beeinträchtigt, was zu einer erhöhten Belastung des Herzens führt. Die Verengung kann entweder an der Klappe selbst oder im Bereich der Pulmonalarterie auftreten. Diese Erkrankung tritt häufig bei bestimmten Rassen wie der Bulldogge, Beagle und Boxer auf.

Symptome
Die Symptome einer Pulmonalstenose können stark variieren, wobei die meisten Patienten sich in den ersten Lebensmonaten/Jahren unauffällig zeigen und keine Verhaltensveränderungen aufweisen.
Atembeschwerden: Schwierigkeiten beim Atmen, insbesondere bei körperlicher Anstrengung.
Müdigkeit: Hunde zeigen eine erhöhte Ermüdung, auch bei geringer Belastung.
Ohnmachtsanfälle/Synkopen: In schweren Fällen können Hunde ohnmächtig werden, was auf eine schwerwiegende Beeinträchtigung des Herz-Kreislaufsystems hinweist.
Diagnostik
Die Diagnose einer Pulmonalstenose erfolgt durch eine klinische und echokardiographische Untersuchung.
Klinische Untersuchung: Der Tierarzt hört oft ein lautes Herzgeräusch, das auf die Verengung hinweisen kann.
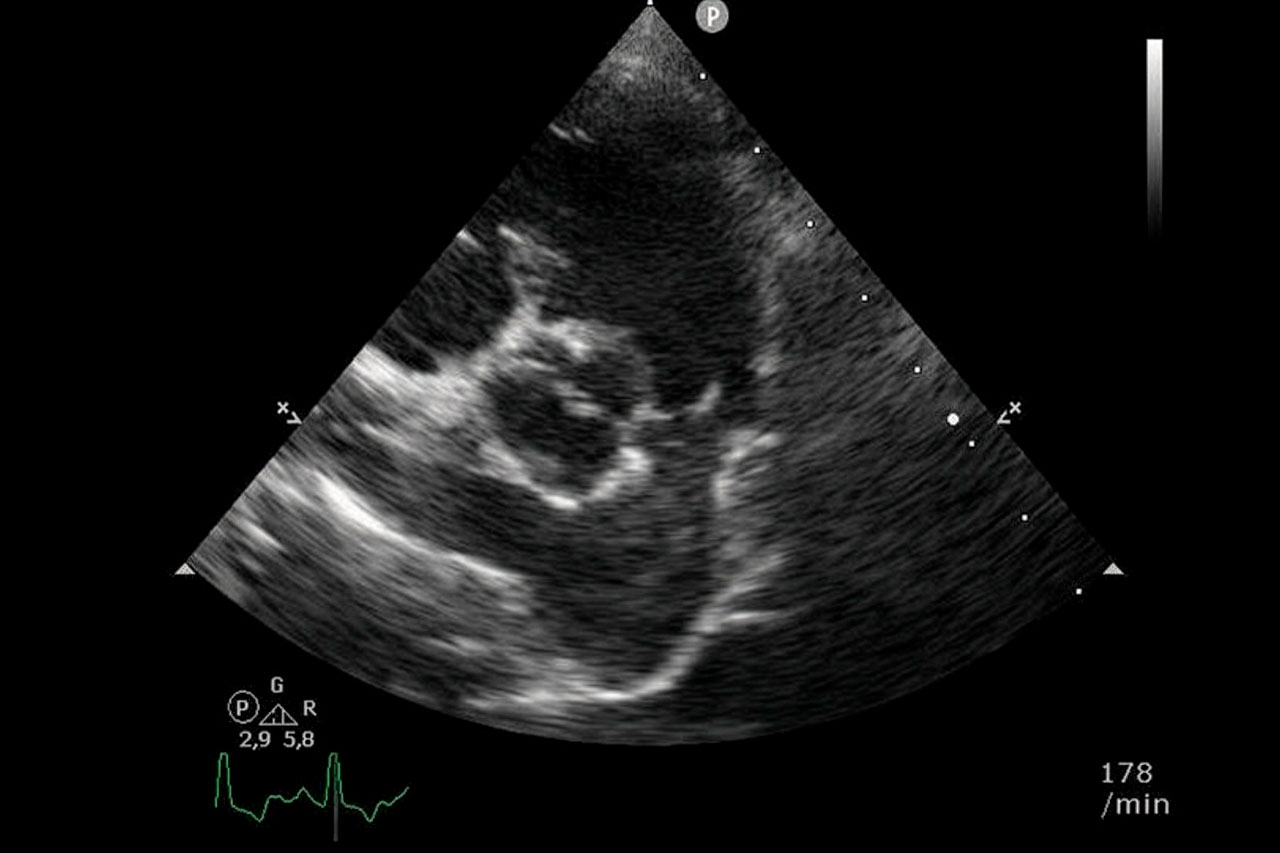
Echokardiographie: Mit Ultraschall wird das Herz genauer untersucht, um die Diagnose zu stellen und den Schweregrad der Verengung einzuschätzen.
Behandlung
Die Behandlung einer Pulmonalstenose hängt von dem Schweregrad der Erkrankung ab. In milden Fällen ist möglicherweise keine sofortige Behandlung erforderlich, jedoch sind regelmäßige Kontrollen ratsam. Bei schwereren Fällen steht die Option des Eingriffes zur Verfügung: Ballonvalvuloplastie. Bei dieser minimal-invasiven Technik wird ein Ballon eingesetzt, um die verengte Klappe zu erweitern.
Fazit
Die frühzeitige Diagnose und geeignete Behandlung sind entscheidend, um die Lebensqualität und die Lebensdauer Ihres Hundes zu verbessern. Wenn Sie Anzeichen einer Herzkrankheit bei Ihrem Hund bemerken, suchen Sie bitte umgehend einen Tierarzt auf.
Für weitere Informationen und individuelle Beratung stehen wir Ihnen gerne zur Verfügung!
Impressionen zur Ballonvalvuloplastie
Informationen zur Vorstellung in der interventionellen Kardiologie
Kontaktaufnahme
Vorbefunde versenden

Terminvereinbarung nach Erhalt der Unterlagen

Vorbereitung für den Eingriff
- Blutuntersuchung (Abnahme max. 10 Tage vor Eingriff)
Allgemeine Blutuntersuchung: Geriatrisches Profil, inkl. CRP und Blutgruppenbestimmung Patienten, die aus dem Ausland stammen: Bestimmung von Babesien, Leishmanien, Dirofilarien, Ehrlichien, Anaplasmen, Hepatozoon Canis - Patienten über 8 Jahre: bakteriologische Untersuchung des Urins (mittels Zystozentese)
- Patienten für Herzschrittmacher: Urinuntersuchung für UPC-Messung
Wichtig: Akute Erkrankungen wie Durchfall, Harnblasenentzündungen, Verletzungen, Fieber oder andere Arten von systemischen Erkrankungen stellen eine Kontraindikation für die Durchführung dieser Eingriffe dar und führen zur Verschiebung des OP-Termines. Bitte informieren Sie uns rechtzeitig, falls Ihr Tier solche Erkrankungen in den Tagen vor dem Termin entwickelt.
RA Kardiologie
Teamleiter interventionelle Kardiologie
Ricardo Abrantes
Tel.: 0176 5959 1699
E-Mail: ra-kardiologie@t-online.de

In Zusammenarbeit mit: Anicura Alzenau
Abteilung interventionelle Kardiologie
Mömbriser Str. 100, 63755 Alzenau
Tel.: 06023 7530
E-Mail: alzenau@anicura.de













